
2026.3.26 UPDATE
![[new]](img/new02.gif)
日時:2026年6月20日(土)13:00~17:00
会場:Web開催
講 師:島根大学医学部附属病院光学医療診療部
柴垣 広太郎 先生
テーマ:広範囲食道ESDにおける狭窄マネジメント
―Underwater ESDによる術中戦略から術後予防・狭窄時対応まで―
共催:オリンパスマーケティング株式会社
※公募中
申込期間:2026年3月16日(月)0:00
~2026年6月18日(木)12:00
参加費:2,000円
m3.com学会研究会のホームページから参加申し込みをして頂きます。
(m3.comのアカウント作成が必要になります)
2026.3.16 UPDATE
![[new]](img/new02.gif)
内視鏡所見と病理組織像の1対1対応が可能な症例を公募いたします。主にLSBEに発生した早期癌(HGDを含む)を対象としますが、興味深い症例であればSSBE癌でも結構です。採否は世話人へご一任ください。
症例呈示希望者は応募用紙に記入の上、代表的な内視鏡(2枚)、切除標本(新鮮、固定)、切り出し図、マッピング、代表的組織像とともに、Barrett 食道研究会事務局 barrett.shinshu@gmail.comへお申し込み下さい(10MB以下でお願い致します)。
研究会では、病理世話人が病理解説を行うため、あらかじめ切除標本マクロ像、切り出し図、バーチャルスライドをご提出いただきます。なお、バーチャルスライドでのご提出が困難な場合はプレパラートでのご提出をお願いいたします。 Barrett食道研究会では質の高い病理診断を行うために、必要な染色法を指定しています。「Barrett食道研究会染色法」を参照してください。
■締切日:2026年4月30日(木)正午

この度、Barrett食道研究会の代表世話人を小山恒男先生より引き継がせて頂くこととなりました。本研究会の存在意義を一言で申しますと、本邦において稀少で、組織学的診断も確立されていないBarrett食道腺癌の内視鏡診断(特に拡大所見)を共に学ぶ場を提供するであると考えています。
特に、本邦では極めて稀なlong segment Barrett’s esophagus(LSBE)から発生した早期癌は、診断に難渋する場合も多く、欧米ではランダム生検による検出が標準的とされています。背景のBarrett食道もろとも全体を内視鏡切除+ラジオ波焼灼する欧米と異なり、ESDで内視鏡的な局所切除が基本の本邦では、存在診断+範囲診断(特に水平)を的確に行うことが不可欠です。
そのためには、一流の病理医による組織学的診断とエキスパート内視鏡医による拡大内視鏡像との一対一対応を徹底的に行うことで、『本来、見えないであろう拡大所見の先にある組織構築像が診えてくる』所まで内視鏡診断レベルを上げていく必要があります。その実現には、一対一対応を追究した症例(特にLSBE発生例)1例でも多く経験するしかありません。本研究会でBarrett食道腺癌(LSBE発生早期病変)を共に学び、拡大内視鏡像の一歩先を診るスキルを習得しましょう!一人でも多くの皆様のご参加をお待ちしています。
2025年10月1日
代表世話人
獨協医科大学病院 消化器内視鏡センター
郷田 憲一
Barrett食道研究会事務局
〒390-8621 長野県松本市旭3-1-1
信州大学医学部内科学第二教室
※メールアドレスをクリックしてもメーラーが起動しない場合は、barrett.shinshu@gmail.com 宛てにメーラーから直接メールをお送りください。折り返し事務局からご連絡差し上げます。

海外で講演やライブを行う度に、日本と欧米ではBarrett食道癌診断法に大きな乖離がある事を実感します。なぜ、彼らは内視鏡で診断せず、ランダム生検に頼るのか?
私は、Barrett食道癌はHGDも含め、内視鏡による存在診断、範囲診断が可能と信じて来ました。しかし最近、NBI拡大観察を併用しても側方範囲診断が不可能なLSBE症例を経験しました。診断技術を向上させるためには、多くの症例を診るしかありません。そこで、Barrett食道に造詣の深い先生方に世話人をお願いし、Barrett食道研究会を立ち上げることに致しました。全国からLSBE症例を集め、内視鏡的、組織学的診断に迫りたいと思います。皆様のご参加をお待ち致します。
2016年6月4日
前代表世話人
佐久医療センター内視鏡内科
小山 恒男
2026.01.08 UPDATE
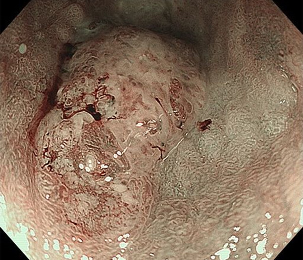
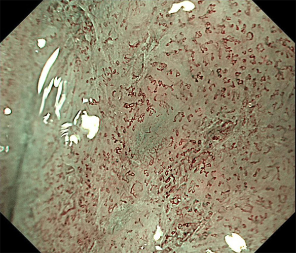
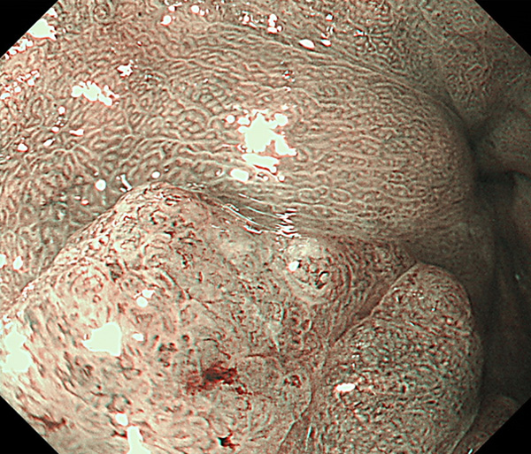
2026年1月24日開催の第19回研究会でご提示した検討症例です。 (画像をクリックすると拡大します)
2025.06.11 UPDATE
2025年7月19日開催の第18回研究会でご提示した検討症例です。 (画像をクリックすると拡大します)
2024.12.20 UPDATE
2025年1月11日開催の第17回研究会でご提示した検討症例です。 (画像をクリックすると拡大します)
2024.06.13 UPDATE
2024年6月29日開催の第16回研究会でご提示した検討症例です。 (画像をクリックすると拡大します)
2023.12.28 UPDATE
2024年1月6日開催の第15回研究会でご提示した検討症例です。 (画像をクリックすると拡大します)
2023.6.12 UPDATE
2023年7月1日開催の第14回研究会でご提示した検討症例です。 (画像をクリックすると拡大します)
2022.12.27 UPDATE
2023年1月21日開催の第13回研究会でご提示した検討症例です。 (画像をクリックすると拡大します)
2022.12.27 UPDATE
2022年7月2日開催の第12回研究会でご提示した検討症例です。 (画像をクリックすると拡大します)
2021.12.28 UPDATE
2022年1月22日開催の第11回研究会でご提示した検討症例です。 (画像をクリックすると拡大します)
2021.6.14 UPDATE
2021年6月26日開催の第10回研究会でご提示した検討症例です。 (画像をクリックすると拡大します)
2020.12.11 UPDATE
2021年1月23日開催の第9回研究会でご提示した検討症例です。 (画像をクリックすると拡大します)
2020.1.15 UPDATE
2020年1月25日開催の第8回研究会でご提示した検討症例です。 (画像をクリックすると拡大します)
2018.6.18 UPDATE
2019年1月12日開催の第6回研究会でご提示した検討症例です。 (画像をクリックすると拡大します)
2018.6.18 UPDATE
2018年6月30日開催の第5回研究会でご提示した検討症例です。 (画像をクリックすると拡大します)
2017.12.29 UPDATE
2017.7.10 UPDATE
2017年7月15日開催の第3回研究会でご提示した検討症例です。 (画像をクリックすると拡大します)
2016.12.24 UPDATE
2017年1月7日開催の第2回研究会でご提示した検討症例です。 (画像をクリックすると拡大します)
2016.6.2 UPDATE
2016年6月4日開催の第1回研究会でご提示した検討症例です。 (画像をクリックすると拡大します)